McKinney Crowns and Bridges
Porcelain Crowns
Applied Procedures: Porcelain Crowns
P5547_ss2540bs_t P5547_ss2540ys_t
Before Photo After Photo
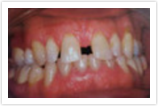
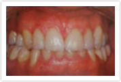
Applied Procedures: Porcelain Crowns
P5547_ss2541bs_t P5547_ss2541ys_t
Before Photo After Photo
Applied Procedures: Porcelain Crowns, Dental Bridges
P5547_ss2542bs_t P5547_ss2542ys_t
Before Photo After Photo